У мужика в носу вырос зуб. Редкий случай
38-летний житель Нью-Йорка долгое время жаловался на проблемы с дыханием через нос. При обследовании медики обнаружили, что мужчина "вырастил" в своем носу зуб!
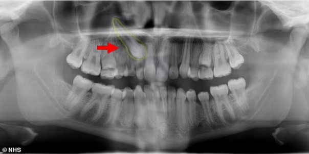
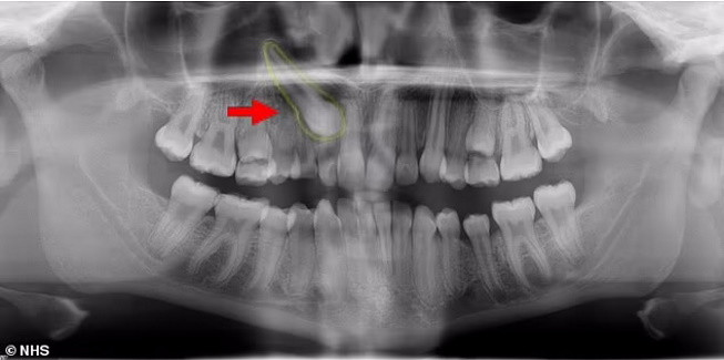
Врачи провели мужчине риноскопию и нашли в одной из ноздрей плотную белую массу, которая не вызывала болевых ощущений. Оказалось, что это эктопический зуб длиной 14 миллиметров, который вырос не там, где ему следовало бы.
Мужчине провели операцию и удалили зуб, вскоре проблемы с дыханием прекратились.
Отмечается, что эктопические зубы очень редко появляются в носу у человека.
Daily Mail
Новостной сайт E-News.su | E-News.pro. Используя материалы, размещайте обратную ссылку.
Оказать финансовую помощь сайту E-News.su | E-News.pro
Если заметили ошибку, выделите фрагмент текста и нажмите Ctrl+Enter (не выделяйте 1 знак)












