Возможности и варианты протезирования на имплантах
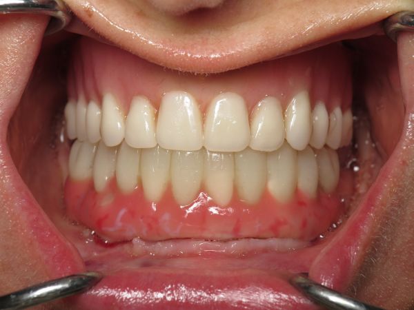
Протезирование на имплантах – наиболее прогрессивный метод восстановления зубов, надежный, комфортный и долговечный. Вместо отсутствующих корней в лунки или челюстную кость вживляют титановые винты, по своей форме соответствующие корневой системе. Сверху может быть зафиксирована временная коронка, иммедиат-протез или другая адаптационная протезная конструкция. После приживления искусственных корней временную систему заменяют на постоянную – более эстетичную и долговечную. Подробнее о протезировании на имплантах читайте далее в статье.
Имплантация по-прежнему считается наиболее удачным вариантов для восстановления отсутствующих зубов. В этом случае корни заменяют титановыми аналогами, которые после полного приживления берут на себя всю функциональную нагрузку. Сверху на них может быть установлена коронка, мост или полный протез. Жевательная нагрузка от ортопедической системы будет передаваться импланту, а от него – костной ткани. Это позволит остановить дальнейшее распространение атрофических процессов в кости, полностью восстановить не только внешний вид улыбки, но и функциональность челюстной системы.
Важно также заметить, что для полного протезирования челюсти вовсе не обязательно вместо каждого отсутствующего зуба устанавливать титановый винт. Для комплексной реставрации может быть вполне достаточно 4, 6 или, скажем, 12 имплантов. В таких случаях на помощь приходят одноэтапные протоколы имплантации: all-on-4, all-on-6, Pro Arch, базальная методика и прочие.
Протезирование по протоколу all-on-4
Импланты вживляют либо в лунки сразу после удаления проблемных зубов, либо в толщу костной ткани, в предварительно сформированные в ней отверстия – выбор мест под вживление титановых корней выбирают с помощью современных компьютерных программ 3D-визуализации. Время приживления конструкций в кости на нижней челюсти – ориентировочно 3 месяца, на верхней – 4-6 месяцев. Такая разница в сроках обусловлена анатомическими особенностями костных структур на разных челюстях.
Если это одиночная реставрация по классической технологии, после установки на импланте зафиксируют заглушку, а уже после остеоинтеграции – формирователь десны (на 2 недели при необходимости) или сразу абатмент, на который будет закреплена постоянная коронка. Комплексные протоколы лечения обычно предусматривают моментальную или раннюю нагрузку протезом, и здесь зачастую используют цельные модели титановых штифтов, в которых тело и абатамент объединены в единую конструкцию.
После операции сначала обязательно фиксируется адаптационный (временный) протез – будь то одиночная коронка или ортопедическая система на всю челюсть. Такие изделия, как правило, создают из облегченной пластмассы или металлопластмассы, чтобы не создавать излишнего давления на вживленные стержни. В основе протеза обычно находится металлический каркас или же конструкция крепится вместе с прочной балкой, что позволяет стабилизировать титановые корни и обеспечивает их неподвижность.

Несъемный временный протез может быть зафиксирован на имплантах в течение ближайших дней после их установки. Срок адаптации варьируется от 6 до 12 месяцев, в зависимости от особенностей клинической картины. Реальный же срок некоторых изделий может достигать 3 лет, разумеется, при постоянном уходе и бережном отношении. В качестве съемных временных решений также могут использоваться съемные иммедиат-протезы, они же «бабочки». После полного приживление титановых винтов конструкцию можно заменит на постоянную – более эстетичную, надежную и долговечную.
По материалам блога стоматолога dentconsult.ru
Какое количество зубов можно восстановить с помощью имплантов?
Имплантация по-прежнему считается наиболее удачным вариантов для восстановления отсутствующих зубов. В этом случае корни заменяют титановыми аналогами, которые после полного приживления берут на себя всю функциональную нагрузку. Сверху на них может быть установлена коронка, мост или полный протез. Жевательная нагрузка от ортопедической системы будет передаваться импланту, а от него – костной ткани. Это позволит остановить дальнейшее распространение атрофических процессов в кости, полностью восстановить не только внешний вид улыбки, но и функциональность челюстной системы.
Важно также заметить, что для полного протезирования челюсти вовсе не обязательно вместо каждого отсутствующего зуба устанавливать титановый винт. Для комплексной реставрации может быть вполне достаточно 4, 6 или, скажем, 12 имплантов. В таких случаях на помощь приходят одноэтапные протоколы имплантации: all-on-4, all-on-6, Pro Arch, базальная методика и прочие.
Протезирование по протоколу all-on-4
Импланты вживляют либо в лунки сразу после удаления проблемных зубов, либо в толщу костной ткани, в предварительно сформированные в ней отверстия – выбор мест под вживление титановых корней выбирают с помощью современных компьютерных программ 3D-визуализации. Время приживления конструкций в кости на нижней челюсти – ориентировочно 3 месяца, на верхней – 4-6 месяцев. Такая разница в сроках обусловлена анатомическими особенностями костных структур на разных челюстях.
Если это одиночная реставрация по классической технологии, после установки на импланте зафиксируют заглушку, а уже после остеоинтеграции – формирователь десны (на 2 недели при необходимости) или сразу абатмент, на который будет закреплена постоянная коронка. Комплексные протоколы лечения обычно предусматривают моментальную или раннюю нагрузку протезом, и здесь зачастую используют цельные модели титановых штифтов, в которых тело и абатамент объединены в единую конструкцию.
Какие протезы можно зафиксировать на имплантах
После операции сначала обязательно фиксируется адаптационный (временный) протез – будь то одиночная коронка или ортопедическая система на всю челюсть. Такие изделия, как правило, создают из облегченной пластмассы или металлопластмассы, чтобы не создавать излишнего давления на вживленные стержни. В основе протеза обычно находится металлический каркас или же конструкция крепится вместе с прочной балкой, что позволяет стабилизировать титановые корни и обеспечивает их неподвижность.

Несъемный временный протез может быть зафиксирован на имплантах в течение ближайших дней после их установки. Срок адаптации варьируется от 6 до 12 месяцев, в зависимости от особенностей клинической картины. Реальный же срок некоторых изделий может достигать 3 лет, разумеется, при постоянном уходе и бережном отношении. В качестве съемных временных решений также могут использоваться съемные иммедиат-протезы, они же «бабочки». После полного приживление титановых винтов конструкцию можно заменит на постоянную – более эстетичную, надежную и долговечную.
По материалам блога стоматолога dentconsult.ru
Новостной сайт E-News.su | E-News.pro. Используя материалы, размещайте обратную ссылку.
Оказать финансовую помощь сайту E-News.su | E-News.pro
Если заметили ошибку, выделите фрагмент текста и нажмите Ctrl+Enter (не выделяйте 1 знак)










